Počítačová tomografie

Verze z 3. 4. 2017, 17:34, kterou vytvořil Karolina.Slezakova (diskuse | příspěvky) (Založena nová stránka s textem „400px Počítačová tomografie (neboli správně výpočetní tomografie, Computed Tomography – z toho zkratk…“)
(rozdíl) ← Starší verze | zobrazit aktuální verzi (rozdíl) | Novější verze → (rozdíl)

Ct-scan-illustration-article.jpg

Počítačová tomografie (neboli správně výpočetní tomografie, Computed Tomography – z toho zkratka CT) je jednou ze základních zobrazovacích metod, které nám poskytují vizuální informace o morfologii a struktuře měkkých tkání.

Tuto metodu zobrazování můžeme zařadit mezi tzv. strukturální zobrazovací metody, kam patří společně s magnetickou rezonancí (MR). (Rozlišujeme dále tzv. funkční zobrazovací metody jako např.: EEG, PET, fMR aj.)[1]

První přístroj výpočetní tomografie (CT)byl vyvinut G. N. Hounsfieldem v r. 1971. [2]

PRINCIP FUNGOVÁNÍ CT

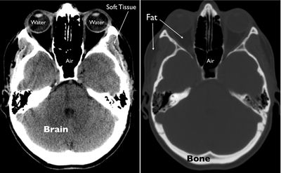
Počítačová tomografie funguje na stejném principu jako rentgen (RTG).Pomocí výpočetní tomografie pořizujeme u ležícího pacienta transverzální řezy. Pacient je fixován na posuvném lůžku, které postupně prochází snímacím (skenovacím) stojanem. V něm je na jedné straně štěrbinový zdroj rentgenového záření (rentgenka) a na opačné straně sada detektorů. U některých tomografů jsou detektory umístěny proti rentgence a pohybují se souhlasně s ní. U nejmodernějších tomografů vytvářejí detektory kolem pacienta úplný prstenec, který se nepohybuje.[3] Během vyšetření je gama paprsek vysílán pod různými úhly, přičemž zdroj gama záření postupně opíše kružnici kolem hlavy/těla pacienta (obrázek níže). Detektory zaznamenávají informace o poloze a intenzitě gama záření dopadající na detektor a jsou ukládány do počítače. Digitální zpracování informací umožňuje kvantifikovat a následně počítačově rekonstruovat obraz. Jednotlivé měkké tkáně jsou CT vyšetřením rozlišitelné jen částečně, protože mezi nimi dochází jen k malému rozdílu v absorpci gama záření. Kostěné struktury jsou bílé, struktury obsahující vzduch nebo tekutinu jsou černé měkké tkáně jsou znázorněny různou intenzitou šedi (viz obrázek níže). Při vyšetření mozkových sktruktur to znamená, že není možné přesně rozlišit mezi šedou a bílou hmotou. Použití vysoce absorpční kontrastní látky (např.: jód), může po injekci ukázat tkáňové postižení způsobené krvácením, infekcí nebo tumorem.[1]

CT.pngExploring the brain CT.jpg

DRUHY PŘÍSTROJŮ

Konvenční (sekvenční) CT (též krokové, inkrementové CT):

Podle topogramu se plánují prováděné řezy – transverzální, každá vrstva je měřenazvlášť. Vrstvy na sebe navazují nebo je mezi nimi mezera. 3D rekonstrukce nejsou kvalitní.(Obr. A)[2]

Helikální (spirální) CT:

U spirálního CT se během krátkého času získá značný objem dat, z nichž lze pomocí rekonstrukcí a výběrem vhodných parametrů vytvořit libovolný počet obrazů, lze jím zobrazit velké oblasti těla. Průměrná délka vyšetření je 5–10 minut. Ve srovnání s klasickým CT zkracuje spirální CT dobu vyšetření, umožňuje získání velkého počtu vrstev s možností následných rekonstrukcí a redukuje pohybovou činnost, což vede ke zlepšení detekce drobných ložisek. Vyžaduje však vyšší dávku záření proti konvenčnímu CT vyšetření. (Obr. B) [2] Cttypes2.gif

DYNAMICKÉ CT (Xe/CT)

Dynamická počítačová tomografie využívá klasických CT přístrojů společně s inhalací stabilního xenonu.

Vyšetření dynamickým CT

Po klasickém CT vyšetření inhaluje pacient po dobu 3-5 minut speciální směs xenonu s kyslíkem pomocí masky, která je napojena na inhalační zařízení. Díky inhalaci se xenon dostává do krve a postupuje mozkovou tkání v závislosti na prokrvení. Standartní CT vyhotoví 3-4 řezy během jednoho vyšetření, dynamické CT je schopné vytvořit 8-10 řezů. [1]


POUŽITÍ CT V RÁMCI PSYCHIATRIE/ PSYCHOLOGIE

CT (a MR) informují o poměrech jednotlivých mozkových oblastí a přinášejí informace o umístění a charakteru možných patologických ložisek (nádor, krvácení, otok apod.), které mohou být příčinou psychické poruchy. V psychiatrii se nejčastěji používá pro vyloučení organické příčiny narušeného psychického stavu. Každopádně bezprostřední diagnostická nebo prediktivní hodnota CT je nízká a využívá se především v rámci klinického výzkumu.[1]


REFERENCE

  1. 1,0 1,1 1,2 1,3 editoři, C. H., Libiger, J., & Švestka, J. (2004). Psychiatrie (2., dopl. a opr. vyd.). Praha: Tigis.
  2. 2,0 2,1 2,2 MUDr. Věra Peterová, C. S. (2007). CT – základy vyšetření, indikace, kontraindikace, možnosti, praktické zkušenosti. Retrieved from http://www.medicinapropraxi.cz/pdfs/med/2010/02/12.pdf
  3. Výukový portál 1.LF UK v Praze: Katalog metod v biofyzice [Online]. Retrieved 2017-4-3, from http://portal.lf1.cuni.cz/clanek-793-katalog-metod-v-biofyzice

ZDROJE OBRÁZKŮ:

1. Terese Winslow, https://www.nibib.nih.gov/science-education/science-topics/computed-tomography-ct

2. Machová, V. (2012), Výpočetní tomografie - CT, http://www.wikiskripta.eu/index.php/Soubor:CT.png

3. UCSF, Exploring the Brain: How Are Brain Images Made with CT?https://radiology.ucsf.edu/sites/radiology.ucsf.edu/files/blog/2012/03/exploring_the_brain_CT.jpg

4. NIH, CT scans, https://imaging.cancer.gov/imaging_basics/cancer_imaging/ct_scans.htm

--Karolina.Slezakova (diskuse) 3. 4. 2017, 17:34 (CEST)